Médica veterinária relata caso de cão Shih Tzu diagnosticado com a doença de pele provocada por fungo
Os fungos estão entre as principais causas de doenças de pele em cães. A malasseziose é uma das mais frequentes, especialmente em determinadas raças predispostas. O tratamento envolve a combinação de agentes antifúngicos tópicos e sistêmicos, além do controle de fatores que levem a predisposição e doenças subjacentes.
Nos casos mais severos ou crônicos, a resposta pode ser lenta. Nesse contexto, a nutrição específica com ácidos graxos poliinsaturados ganha espaço a partir de resultados clínicos promissores para acelerar a recuperação.

Problema recorrente
A proliferação descontrolada do fungo Malassezia pachydermatis, que normalmente habita a pele dos animais, é uma das condições que se manifestam de forma persistente e provocam muito desconforto para o cão.
Para elaborar protocolos terapêuticos específicos contra a malasseziose o médico veterinário faz uma análise multifatorial. Entre outros aspectos que podem favorecer o surgimento da doença de forma recorrente estão: ambiente, alimentação, alergias e outras condições pré-existentes.

Nutrição eficaz no combate a malasseziose crônica
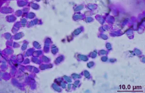
A médica veterinária Sheila Dalpiccol relata o caso de um cão macho da raça Shih Tzu, castrado, com 6 anos de idade e pesando 10,2 kg. Há pelo menos um ano, ele apresentava os sinais clínicos clássicos de malasseziose:
- prurido (coceira) intenso,
- mal odor,
- alopecia (queda de pelo),
- descamação da pele.
Confira mais detalhes do diagnóstico:
????Download do artigo

O exame clínico identificou lesões distribuídas por todo o dorso, axilas e membros, além de seborreia oleosa. O diagnóstico de malasseziose foi confirmado tanto clínica quanto laboratorialmente.
“Considerando o histórico do paciente e a extensão das lesões, foi instituído um protocolo de tratamento baseado em três frentes: terapia tópica, antifúngico sistêmico e suplementação com NUXCELL PUFA”, explica Sheila.
A profissional optou por NUXCELL PUFA como adjuvante por conta da formulação específica para favorecer a saúde da pele:
Incluindo ácidos graxos (ômega 3), zinco, vitamina A e vitaminas do complexo B, que ajudam a modular a inflamação, melhorar a integridade da barreira cutânea e promover uma pele mais saudável”.
Confira mais detalhes do protocolo:
????Download do artigo

“Desde a primeira semana de uso do NUXCELL PUFA, os sinais clínicos começaram a apresentar melhora significativa. “
De acordo com o relato, a combinação do suplemento com o tratamento convencional contribuiu para uma recuperação mais rápida:
“Reduzindo a necessidade de uso prolongado de antifúngicos sistêmicos, uma vantagem importante, considerando os potenciais efeitos adversos desses medicamentos, como hepatotoxicidade”, completa Scheila.
ℹ Como a suplementação pode auxiliar na pele e pêlo dos pets
Como NUXCELL PUFA pode contribuir no manejo das dermatopatias?

NUXCELL PUFA apresenta uma formulação balanceada com ingredientes que colaboram com a saúde cutânea. Os principais componentes atuam sinergicamente para reforçar a barreira epidérmica e controlar a inflamação:
- Zinco: essencial para a integridade da pele, auxilia na prevenção da perda de água transepidérmica e melhora a cicatrização.
- Vitamina A: favorece a renovação celular, é fundamental para a saúde dos folículos pilosos e a queratinização adequada.
- Vitaminas do complexo B (B1, B2, B6, B12): desempenham papel importante na manutenção da saúde da pele e na metabolização de nutrientes.
- Ácidos graxos essenciais: participam da regulação da resposta inflamatória e da manutenção da estrutura celular da epiderme.
Esses nutrientes são fundamentais para restaurar a barreira cutânea, reduzir a disbiose (desequilíbrio da microbiota cutânea) e modular a inflamação, pontos críticos no tratamento de doenças dermatológicas como a malasseziose.









